01/05/2021
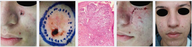
O caso de um jovem de 16 anos diagnosticado com câncer de pele foi o foco central do artigo publicado pela médica dermatologista Karina Bittencourt Medeiros, da nossa SBD-PR, na revista on-line Surgical & Cosmetic Dermatology, SBD nacional. O texto “Carcinoma basocelular na face de adolescente não sindrômico: de raridade para uma nova realidade?” – também assinado por Guilherme Athanasio Shwetz e Graziela Junges Crescente Rastelli – aborda o quadro do paciente, que há dois anos apresentava uma lesão na face inicialmente tratada por outros profissionais como acne.

“O carcinoma basocelular foi comprovado por biópsia. Esse artigo traz informações importantes, pois o câncer de pele nessa faixa etária é raro. E o aumento da doença nos mais jovens pode representar uma elevação da incidência em todas as faixas etárias. Uma atenção maior aos mais novos deve ser dada porque eles estão sujeitos a um risco maior de desenvolver outro câncer, em outro momento da vida. Em cinco anos, cerca de 40% dos pacientes terão um novo carcinoma basocelular”, destaca a Dra. Karina.
Dra. Karina Bittencourt Medeiros
A dermatologista acrescenta que os fatores para o surgimento em faixas etárias mais baixas não são ainda bem determinados. “Pode ser pela cultura da pele mais bronzeada, pela falta de proteção, pela maior exposição solar. Neste caso específico do adolescente, foi descartada a hipótese sindrômica. A genética pode também ter interferido, com um papel menor. Também é necessário se atentar para o diagnóstico nesse público, porque o caso estava sendo tratado de início por outros médicos como acne”, finalizou a dermatologista, cujo artigo para publicação foi aprovado em outubro de 2020.
Sociedade Brasileira de Dermatologia – Regional do Paraná, foi fundada em 28 de abril de 1952. Somos uma associação médica sem fins lucrativos, que tem o objetivo de congregar os médicos paranaenses que se dedicam à dermatologia. Atualmente contamos com mais de 680 dermatologistas associados e atuamos com forte estrutura de Educação Continuada (em EAD) e comunicação digital com nossos associados.
A SBD-PR trabalha diariamente a favor da valorização profissional do médico dermatologista.
Lauren Morais
Atual Presidente